Услуги клиники «Элегия»

Чистка зубов AirFlow

Чистка зубов AirFlow в Минске

AirFlow — это метод профессиональной чистки зубов, при котором на поверхность эмали под давлением подаётся смесь тёплой воды, воздуха и ультратонкого абразивного порошка. Струя мягко, но эффективно сметает мягкий налёт, пигментацию от кофе, чая, красного вина и табака, а также биоплёнку в межзубных промежутках и у линии дёсен — там, где щётка просто не достаёт.
Процедура занимает 15–20 минут, проходит без боли и давления на зуб, не повреждает эмаль и дёсны. После AirFlow зубы становятся заметно светлее, поверхность — идеально гладкой, а налёт перестаёт накапливаться так быстро.

Чем AirFlow отличается от ультразвуковой чистки

Оба метода применяются в «Элегии» как часть комплексной профессиональной гигиены, но решают разные задачи:
AirFlow
Ультразвук
Что удаляет
Мягкий налёт, пигментацию, биоплёнку
Твёрдый зубной камень, поддесневые отложения
Принцип
Воздушно-абразивная струя
Ультразвуковые волны
Ощущения
Полностью безболезненно
Может быть лёгкий дискомфорт
Время
15–20 минут
20–25 минут
Для чего
Полировка, удаление пятен, профилактика
Лечебная чистка при камне и пародонтите
На практике эти методы используются вместе: сначала ультразвук убирает твёрдые отложения, затем AirFlow полирует эмаль и удаляет оставшийся налёт. Результат — комплексно чистые и заметно более светлые зубы.

Кому подходит AirFlow

  • при видимом налёте и пигментации от кофе, чая, красного вина, ягод, табака
  • для поддержания результатов после профессиональной чистки
  • перед отбеливанием зубов — для подготовки эмали
  • пациентам с брекетами — AirFlow очищает труднодоступные зоны вокруг замков
  • при наличии имплантов, коронок и виниров — деликатный метод, не повреждающий реставрации
  • детям и подросткам с налётом на молочных и постоянных зубах
  • всем, кто хочет освежить улыбку без химического отбеливания

Как проходит процедура

  1. Осмотр и подготовка — врач оценивает состояние зубов и дёсен, при необходимости наносит гель для снижения чувствительности
  2. Чистка AirFlow — струя тёплой воды, воздуха и микрочастиц бикарбоната натрия последовательно обрабатывает все поверхности зубов, межзубные промежутки и линию дёсен
  3. Полировка эмали — после AirFlow поверхность полируется профессиональной пастой для гладкости и защиты от повторного накопления налёта
  4. Фторирование — по показаниям наносится фтор-лак или реминерализующий гель для укрепления эмали и снижения чувствительности
  5. Рекомендации — врач рассказывает, как поддерживать результат дома и как часто повторять процедуру

Что важно знать перед процедурой

  • Ограничений в еде нет — чистка проводится без специальной подготовки
  • Не является отбеливанием — AirFlow возвращает естественный цвет зубов, удаляя налёт; для изменения природного оттенка эмали нужно отдельное отбеливание
  • Безопасно при беременности — процедура не противопоказана
  • Повторять раз в 3–6 месяцев — оптимальный интервал зависит от питания, привычек и склонности к образованию налёта

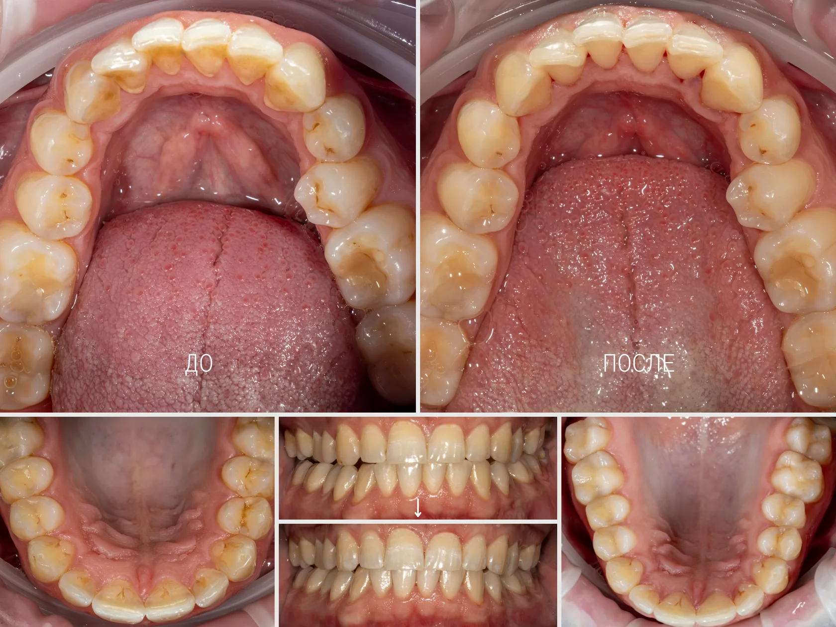
Пример работы

Профессиональная чистка зубов: ультразвук + AirFlow
Пациент пришел с выраженным мягким и минеральным налётом, скопившимся на поверхности зубов. Это не только визуально затемняло улыбку, но и создавало благоприятную среду для развития болезнетворных микроорганизмов.
До → После: зубы вернули естественный светлый оттенок, дёсны перестали кровоточить, эмаль укреплена.

Смежные услуги

Профессиональная чистка зубов — комплексная гигиена: ультразвук + AirFlow + полировка + фторирование в рамках одного приёма
Глубокая профессиональная гигиена — расширенный протокол для пациентов с пародонтитом и поддесневыми отложениями
Профессиональная чистка зубов у детей — деликатная чистка для детей и подростков с применением AirFlow
Фторирование и реминерализация — укрепление эмали после AirFlow для максимального профилактического эффекта
Индивидуальный план ухода — подбор щётки, пасты и техники чистки после процедуры для закрепления результата дома

Стоимость

Стоимость чистки AirFlow в Минске зависит от объёма работ. Актуальные цены — на странице «Стоимость услуг». Чаще всего AirFlow входит в состав комплексной профессиональной чистки и не оплачивается отдельно.

Запишитесь на чистку

15–20 минут — и улыбка снова яркая. Запишитесь онлайн или позвоните по телефону +375 (44) 565-06-80.
📍 Минск, ул. Розы Люксембург, 143 | Режим работы: пн–пт 9:00–21:00
Профилактический прием