Комплексная профессиональная чистка зубов с применением современных технологий — это не просто удаление налёта, это восстановление естественной белизны и здоровья эмали.
Что было исходным состоянием:
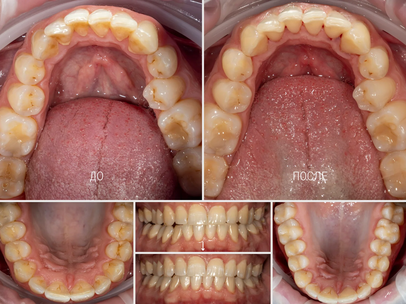
Пациент пришел с выраженным мягким и минеральным налётом, скопившимся на поверхности зубов. Это не только визуально затемняло улыбку, но и создавало благоприятную среду для развития болезнетворных микроорганизмов.
Комплексный подход:
Мы провели профессиональную чистку зубов, включающую ультразвуковую обработку для удаления твёрдого налёта, технологию Air Flow для полировки поверхности эмали и финишное покрытие фторлаком для защиты. Важная часть лечения — обучение пациента правильным техникам чистки и подбор индивидуальных средств гигиены полости рта.
Ключевые результаты:
Что обеспечило результат:
Применение передовых технологий (ультразвук, Air Flow, фторирование) в сочетании с профессиональным мастерством и индивидуальным подходом к гигиене позволило достичь максимального улучшения. Пациент теперь знает, как самостоятельно поддерживать результат.
Элегия — где здоровье зубов начинается с правильной чистки.
Что было исходным состоянием:
Пациент пришел с выраженным мягким и минеральным налётом, скопившимся на поверхности зубов. Это не только визуально затемняло улыбку, но и создавало благоприятную среду для развития болезнетворных микроорганизмов.
Комплексный подход:
Мы провели профессиональную чистку зубов, включающую ультразвуковую обработку для удаления твёрдого налёта, технологию Air Flow для полировки поверхности эмали и финишное покрытие фторлаком для защиты. Важная часть лечения — обучение пациента правильным техникам чистки и подбор индивидуальных средств гигиены полости рта.
Ключевые результаты:
- Восстановленная белизна — зубы вернули естественный светлый оттенок
- Здоровые дёсны — исчезло воспаление и кровоточивость
- Полная гигиена — удалены все отложения с поверхности и под дёснами
- Защита эмали — фторовое покрытие укрепило структуру зуба
- Долгосрочный результат — обучение техникам чистки обеспечивает стабильность результата
Что обеспечило результат:
Применение передовых технологий (ультразвук, Air Flow, фторирование) в сочетании с профессиональным мастерством и индивидуальным подходом к гигиене позволило достичь максимального улучшения. Пациент теперь знает, как самостоятельно поддерживать результат.
Элегия — где здоровье зубов начинается с правильной чистки.