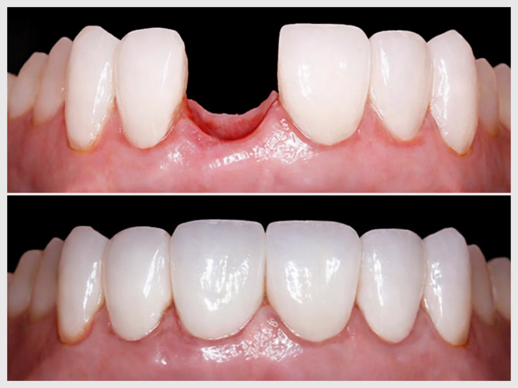
Отсутствие центрального резца верхней челюсти — это не просто функциональный дефект, это психологическая трагедия. Передние зубы определяют лицо, улыбку и уверенность человека. Центральный резец — это самый заметный зуб, и его потеря создаёт видимый дефект, который невозможно скрыть при общении.
Но в современной стоматологии это решаемая проблема. Дентальная имплантация с циркониевой коронкой — это не просто восстановление зуба, это полное восстановление улыбки и качества жизни пациента.
Проблема: отсутствие центрального резца
Центральный резец верхней челюсти (зуб 1.1) — это доминирующий элемент улыбки. Его отсутствие создает:
Почему центральный резец требует особого подхода:
Центральный резец — это самый эстетичный зуб во рту. Он требует:
Почему циркониевая коронка оптимальна для центрального резца:
Диоксид циркония — это материал будущего в ортопедической стоматологии. Для центрального резца это идеальное решение:
Комплексный протокол восстановления отсутствующего центрального резца:
Этап 1: Диагностика и планирование
Этап 2: Костная пластика (если необходимо)
Если в области отсутствующего зуба произошла атрофия костной ткани (что почти всегда), проводится костная пластика:
Этап 3: Имплантация
Этап 4: Слепки и планирование коронки
Этап 5: Изготовление циркониевой коронки
Этап 6: Фиксация коронки на имплант
Этап 7: Адаптация и уход
Ключевые результаты восстановления центрального резца:
Сравнение методов восстановления отсутствующего центрального резца:
Но в современной стоматологии это решаемая проблема. Дентальная имплантация с циркониевой коронкой — это не просто восстановление зуба, это полное восстановление улыбки и качества жизни пациента.
Проблема: отсутствие центрального резца
Центральный резец верхней челюсти (зуб 1.1) — это доминирующий элемент улыбки. Его отсутствие создает:
- Видимый дефект в улыбке — пустота в самом заметном месте
- Функциональный дефект — нарушение откусывания и жевания
- Речевые нарушения — звуки шипящих букв искажаются
- Психологические проблемы — стыд, низкая самооценка, нежелание улыбаться
- Смещение соседних зубов — с течением времени зубы начинают смещаться в сторону дефекта
- Деградация костной ткани — без зубного корня костная ткань атрофируется
Почему центральный резец требует особого подхода:
Центральный резец — это самый эстетичный зуб во рту. Он требует:
- Идеальной формы и размера — должен соответствовать пропорциям лица и соседних зубов
- Правильного цвета и прозрачности — эмаль должна быть полупрозрачной, как природная
- Правильного положения — даже небольшое отклонение видно
- Правильного контура — режущий край, контур коронки должны быть идеальны
- Правильной линии десны — должна быть на одном уровне с соседними зубами
Почему циркониевая коронка оптимальна для центрального резца:
Диоксид циркония — это материал будущего в ортопедической стоматологии. Для центрального резца это идеальное решение:
- Биосовместимость — циркониевые конструкции не вызывают воспалительных реакций и не окрашивают десну в синий цвет (как металлокерамика)
- Эстетика без компромисса — цирконий идеально имитирует природные зубы
- Прозрачность — циркониевые коронки могут быть частично прозрачными, создавая эффект живого зуба
- Прочность — циркониевые коронки в 4-5 раз прочнее керамики
- Долговечность — служат 15-20+ лет без отколов, сколов, потемнений
- Отсутствие чёрного края — в отличие от металлокерамики, при рецессии дёсен не видна металлическая основа
- Идеальная поддержка десны — циркониевая коронка не травмирует дёсны
Комплексный протокол восстановления отсутствующего центрального резца:
Этап 1: Диагностика и планирование
- КЛКТ диагностика — оценка объёма костной ткани в области отсутствующего зуба, определение необходимости костной пластики
- Анализ соседних зубов — фотография и анализ формы, размера, цвета соседних резцов
- Анализ пропорций лица — определение идеальной формы и размера центрального резца в пропорции к лицу
- Эстетический анализ — определение линии улыбки, положения на режущих кромках
Этап 2: Костная пластика (если необходимо)
Если в области отсутствующего зуба произошла атрофия костной ткани (что почти всегда), проводится костная пластика:
- Использование биоматериалов для восстановления объёма кости
- Время ожидания 4-6 месяцев для остеоинтеграции
Этап 3: Имплантация
- Установка дентального импланта — титановый корень вводится в костную ткань в позицию, соответствующую идеальному положению центрального резца
- Первичная стабилизация — имплант должен быть идеально позиционирован для создания правильного будущего положения коронки
- Время остеоинтеграции — 3-4 месяца, в течение которых кость срастается с имплантом
- Временная коронка — на период остеоинтеграции может быть установлена временная коронка из композита для поддержания эстетики
Этап 4: Слепки и планирование коронки
- Цифровое сканирование — 3D-сканирование для получения точной геометрии импланта и соседних зубов
- Анализ идеальной формы — компьютерное моделирование оптимальной формы и размера циркониевой коронки
- Согласование с пациентом — пациент видит, как будет выглядеть будущий зуб
- Выбор цвета — точный подбор цвета циркониевой коронки под соседние зубы
Этап 5: Изготовление циркониевой коронки
- CAD/CAM технология — фрезер из циркониевого блока вытачивает коронку в соответствии с компьютерной моделью
- Синтеризация — циркониевая коронка обжигается в специальной печи для получения максимальной прочности
- Нанесение глазури — специальное покрытие для получения естественного блеска и оттенка
- Финишная обработка — полировка, подгонка краёв, окончательное согласование формы и размера
Этап 6: Фиксация коронки на имплант
- Установка абатмента — титановый переходник, который связывает имплант и коронку
- Установка циркониевой коронки — коронка фиксируется на абатмент с использованием цемента или винтовой фиксации
- Проверка прикуса — убедиться, что коронка правильно контактирует с противоположными зубами
- Проверка эстетики — убедиться, что коронка идеально интегрирована в улыбку
Этап 7: Адаптация и уход
- Инструктаж пациента — объяснение важности гигиены вокруг импланта
- Профилактические посещения — регулярные осмотры для контроля целостности коронки и здоровья дёсен вокруг импланта
Ключевые результаты восстановления центрального резца:
- Идеальная эстетика — циркониевая коронка неотличима от природного зуба
- Восстановленная улыбка — пациент может свободно улыбаться без стыда
- Восстановленная функция — полнофункциональный зуб для откусывания и жевания
- Восстановленная речь — шипящие звуки произносятся правильно
- Восстановленная уверенность — психологическое перерождение пациента
- Долговечность — циркониевая коронка служит 15-20+ лет
- Биокомпатибельность — циркониевая конструкция не вызывает воспаления и чёрных краёв
- Сохранение костной ткани — имплант стимулирует кость, предотвращая её атрофию
Сравнение методов восстановления отсутствующего центрального резца:
Преимущества импланта + циркониевой коронки:
Важное замечание о центральном резце:
Центральный резец — это не просто зуб, это визуальный центр лица. Его восстановление должно быть идеальным. Циркониевая коронка на имплане — это золотой стандарт восстановления передних зубов.
Элегия — клиника, где восстановление передних зубов — это искусство, потому что результат влияет на качество жизни пациента каждый день.
- Не требует обточки соседних здоровых зубов
- Идеальная эстетика и биокомпатибельность
- Максимальная долговечность
- Сохранение костной ткани
Важное замечание о центральном резце:
Центральный резец — это не просто зуб, это визуальный центр лица. Его восстановление должно быть идеальным. Циркониевая коронка на имплане — это золотой стандарт восстановления передних зубов.
Элегия — клиника, где восстановление передних зубов — это искусство, потому что результат влияет на качество жизни пациента каждый день.