Полная потеря зубов на обеих челюстях (полная адентия) — это не просто эстетическая проблема, это трагедия, которая влияет на каждый аспект жизни пациента. Но современная имплантология предлагает решение, которое раньше казалось невозможным: полная реабилитация обеих челюстей с восстановлением не только улыбки, но и качества жизни.
Масштаб проблемы: полная адентия обеих челюстей
Полная потеря зубов приводит к:
Почему традиционный съёмный протез — не решение:
Съёмные зубные протезы — это устаревший стандарт лечения:
Революция в лечении полной адентии: полная имплантация обеих челюстей
Современный стандарт лечения полной адентии — это дентальные импланты с постоянными протезами. В этом кейсе пациент получил:
Анатомическая сложность восстановления обеих челюстей:
Восстановление полной адентии требует:
Комплексный протокол полной имплантации обеих челюстей (12 имплантов):
Фаза 1: Планирование и подготовка
Фаза 2: Имплантация (4-6 месяцев, в зависимости от костной пластики)
Фаза 3: Реабилитация и протезирование (месяцы 7-10)
Раскрытие имплантов:
Слепки и планирование протезов:
Изготовление циркониевых протезов:
Масштаб проблемы: полная адентия обеих челюстей
Полная потеря зубов приводит к:
- Функциональной катастрофе — невозможность полноценного жевания, питание ограничивается мягкой пищей
- Деградации костной ткани — без зубных корней кость стремительно атрофируется (потеря 25% объёма в первый год)
- Изменению черт лица — коллапс нижней трети лица, потеря высоты, преждевременное старение
- Речевым нарушениям — изменение произношения, затруднение коммуникации
- Психологической травме — депрессия, социальная изоляция, потеря самооценки
- Проблемам с традиционными протезами — съёмные протезы нестабильны, болезненны, требуют постоянного ухода
Почему традиционный съёмный протез — не решение:
Съёмные зубные протезы — это устаревший стандарт лечения:
- Нестабильность — протез скользит при жевании и разговоре
- Дискомфорт — постоянное ощущение инородного тела во рту
- Боль — протез натирает дёсны, особенно при атрофии кости
- Невозможность полноценного жевания — можно откусывать только мягкую пищу
- Требует постоянного ухода и переделок — по мере атрофии кости протез не подходит
- Ускоренная атрофия — без имплантов кость продолжает разрушаться
- Социальная изоляция — видимые дефекты, невозможность свободно говорить и есть
Революция в лечении полной адентии: полная имплантация обеих челюстей
Современный стандарт лечения полной адентии — это дентальные импланты с постоянными протезами. В этом кейсе пациент получил:
- 6 имплантов на верхней челюсти
- 6 имплантов на нижней челюсти
- Циркониевые протезы для максимальной эстетики и долговечности
Анатомическая сложность восстановления обеих челюстей:
Восстановление полной адентии требует:
- Анализа костного объёма — часто требуется костная пластика (синус-лифтинг, аугментация)
- Идеального позиционирования имплантов — каждый имплант должен быть расположен для оптимальной распределения нагрузки
- Выбора правильной протокола — количество имплантов, расстояние между ними, угол наклона
- Синхронизации верхней и нижней челюстей — обе челюсти должны функционировать как единая система
- Окклюзионного соотношения — идеальный прикус с правильным контактом всех зубов
Комплексный протокол полной имплантации обеих челюстей (12 имплантов):
Фаза 1: Планирование и подготовка
- Комплексная диагностика:
- КЛКТ обеих челюстей для оценки объёма и качества кости
- Анализ анатомических ориентиров (гайморовы пазухи, нижний альвеолярный канал)
- Определение необходимости костной пластики
- Костная пластика (при необходимости):
- Синус-лифтинг для увеличения объёма кости верхней челюсти
- Горизонтальная аугментация кости для увеличения ширины
- Время заживления и остеоинтеграции: 4-6 месяцев
Фаза 2: Имплантация (4-6 месяцев, в зависимости от костной пластики)
- Планирование позиций имплантов:
- Использование компьютерного моделирования (КЛКТ + программное обеспечение)
- Определение оптимальной позиции каждого из 12 имплантов
- Обычно используется схема: 6 имплантов на верхней челюсти (на позициях премоляров и моляров) и 6 на нижней
- Установка имплантов верхней челюсти:
- Разрезы на десне, препаровка кости, установка имплантов
- Погружение имплантов под слизистую (для защиты от нагрузки)
- Первичная стабилизация имплантов
- Время остеоинтеграции: 3-4 месяца
- Установка имплантов нижней челюсти:
- Аналогично верхней челюсти
- Время остеоинтеграции: 3-4 месяца
Фаза 3: Реабилитация и протезирование (месяцы 7-10)
Раскрытие имплантов:
- Снятие покрытия десны, обнажение имплантов
- Установка формирователей десневого контура
Слепки и планирование протезов:
- Цифровое сканирование позиций всех 12 имплантов
- Компьютерное моделирование оптимальной формы и контура протезов
- Анализ идеальной окклюзии и прикуса
Изготовление циркониевых протезов:
- CAD/CAM технология — каждый протез спроектирован индивидуально
- Фрезер вытачивает протез из циркониевого блока
- Синтеризация (обжиг) для достижения максимальной прочности
- Глазурирование и полировка для естественного вида
- Два набора протезов:
- Верхний протез, покрывающий все 6 имплантов верхней челюсти
- Нижний протез, покрывающий все 6 имплантов нижней челюсти
- Примерка и окончательная фиксация:
- Проверка окклюзии (прикуса) — все зубы должны контактировать идеально
- Проверка эстетики — цвет, форма, размер должны соответствовать пропорциям лица
- Пациент получает инструкции по уходу
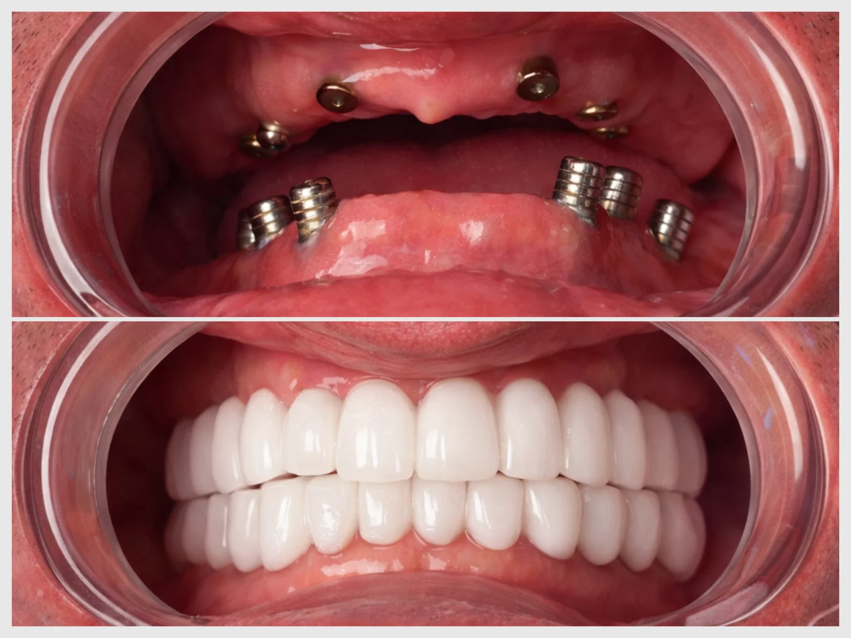
Финальная трансформация:
На первой фотографии видно:
На второй фотографии:
Элегия — клиника, где полная потеря зубов не приговор, а начало пути к восстановлению жизни через импланты и циркониевые протезы.
На первой фотографии видно:
- Полное отсутствие зубов на обеих челюстях
- Установленные импланты (6 сверху, 6 снизу)
На второй фотографии:
- Полная восстановленная улыбка с циркониевыми протезами
- Идеальная форма, размер и цвет зубов
- Естественный вид десны
- Результат, который дарит пациенту новую жизнь
Элегия — клиника, где полная потеря зубов не приговор, а начало пути к восстановлению жизни через импланты и циркониевые протезы.