Ортодонтическое лечение в детском возрасте — это инвестиция в здоровье, функциональность и уверенность ребенка на всю жизнь. Правильный прикус — это не просто красота, это здоровье зубов, правильное развитие челюстей, правильное пережевывание пищи и даже правильное произношение звуков. Брекеты — это золотой стандарт ортодонтического лечения, проверенный десятилетиями и тысячами успешных результатов.
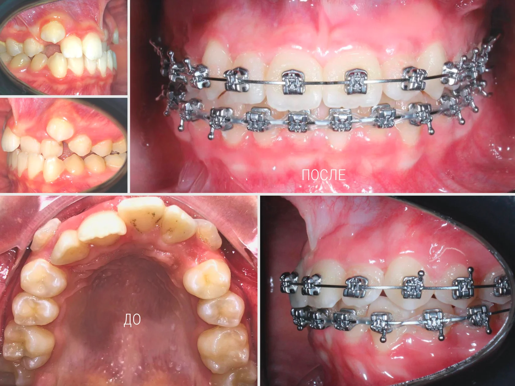
Исходная ситуация: множественные ортодонтические проблемы
На начальном этапе у ребенка было выявлено несколько серьёзных проблем прикуса:
Эти аномалии значительно влияли на эстетику и функцию и требовали комплексного ортодонтического лечения.
Почему брекеты — оптимальный выбор в этом возрасте:
В детском возрасте (обычно 8-14 лет) кости челюстей ещё развиваются, что создаёт идеальные условия для ортодонтического лечения. Брекеты работают за счёт постоянного, контролируемого давления на зубы, которое заставляет костную ткань перестраиваться, позволяя зубам занять правильное положение.
Преимущества раннего ортодонтического лечения:
Комплексный ортодонтический протокол с брекетами:
1. Диагностика и планирование
2. Установка брекетов
3. Активация и коррекция (каждые 4-8 недель)
4. Этапы ортодонтического движения зубов
Фаза 1: Выравнивание и центрирование (первые 4-6 месяцев)
На этом этапе часто наблюдается:
Фаза 2: Выравнивание прикуса (средний этап лечения, обычно 4-8 месяцев)
Фаза 3: Финишная подгонка (последние 2-4 месяца)
5. Специальная коррекция отдельных аномалий (по необходимости)
6. Использование вспомогательных конструкций
7. Снятие брекетов и переход на ретенцию
Когда достигнут идеальный результат:
8. Ретенция — самый важный этап, который часто недооценивают
После снятия брекетов зубы имеют тенденцию вернуться в исходное положение. Для предотвращения этого используются:
Обычно ретенция продолжается несколько лет для полной стабилизации результата.
Ключевые результаты ортодонтического лечения:
Специфика ортодонтического лечения у детей:
Длительность лечения:
В среднем ортодонтическое лечение с брекетами занимает 18-24 месяца, в зависимости от тяжести аномалии. В этом случае достигнут впечатляющий результат благодаря:
Элегия — клиника, где ортодонтическое лечение детей — это не просто работа с положением зубов, это инвестиция в здоровье, функциональность и уверенность на всю жизнь.
Исходная ситуация: множественные ортодонтические проблемы
На начальном этапе у ребенка было выявлено несколько серьёзных проблем прикуса:
- Аномалии положения центральных резцов — передние зубы находились вне зубной дуги, с поворотом по оси и смещением
- Дефицит места для клыков — клыки не имели достаточного пространства для правильного прорезывания, угрожая смещением соседних зубов
- Нарушение центральной линии — центр верхних и нижних зубов не совпадал
- Неправильное смыкание жевательных поверхностей — прикус был нарушен, что создавало проблемы при жевании
- Обратное перекрытие в области некоторых зубов — зубы смыкались неправильно
- Супраконтакт — нежелательное агрессивное смыкание в области передних зубов
- Отсутствие смыкания в области премоляров — промежутки между зубами при смыкании
Эти аномалии значительно влияли на эстетику и функцию и требовали комплексного ортодонтического лечения.
Почему брекеты — оптимальный выбор в этом возрасте:
В детском возрасте (обычно 8-14 лет) кости челюстей ещё развиваются, что создаёт идеальные условия для ортодонтического лечения. Брекеты работают за счёт постоянного, контролируемого давления на зубы, которое заставляет костную ткань перестраиваться, позволяя зубам занять правильное положение.
Преимущества раннего ортодонтического лечения:
- Более быстрое лечение — костная ткань легче перестраивается
- Более стабильный результат — зубы остаются в правильном положении на долгие годы
- Предотвращение более серьёзных проблем — лечение в раннем возрасте предотвращает необходимость сложного вмешательства в будущем
- Психологический комфорт — ребенок получает красивую улыбку в школьные годы, повышая уверенность в себе
Комплексный ортодонтический протокол с брекетами:
1. Диагностика и планирование
- Клиническое обследование полости рта и прикуса
- Ортопантомограмма (панорамный снимок) для оценки положения корней и развития зубов
- Боковые рентгеновские снимки для оценки положения челюстей в пространстве
- 3D-томография (при необходимости) для детального анализа
- Изготовление цифровых моделей для планирования движения зубов
- Определение оптимальной стратегии лечения
2. Установка брекетов
- Выбор типа брекетов (металлические, керамические, лингвальные — в зависимости от предпочтений и медицинских показаний)
- Тщательная полировка и подготовка поверхности зубов
- Нанесение специального адгезива для фиксации брекетов
- Установка каждого брекета в правильное положение
- Установка дуги (арки) — это основной инструмент, который определяет положение зубов
3. Активация и коррекция (каждые 4-8 недель)
- Замена дуги на более жёсткую (или изгибание существующей дуги)
- Активация пружин и резинок для дополнительного давления
- Проверка правильности движения зубов
- Коррекция положения брекетов при необходимости
- Контроль гигиены полости рта (критично при ношении брекетов)
4. Этапы ортодонтического движения зубов
Фаза 1: Выравнивание и центрирование (первые 4-6 месяцев)
- Зубы выравниваются вдоль дуги
- Скручивание (торк) зубов исправляется
- Центральная линия начинает выравниваться
На этом этапе часто наблюдается:
- Некоторый дискомфорт при приложении давления на зубы (обычно проходит в течение нескольких дней)
- Необходимость приема мягкой пищи в первые несколько дней после активации
- Улучшение гигиены (часто требуются специальные щётки для чистки вокруг брекетов)
Фаза 2: Выравнивание прикуса (средний этап лечения, обычно 4-8 месяцев)
- Исправление вертикальных нарушений (передний открытый прикус, глубокий прикус)
- Создание правильного смыкания жевательных поверхностей
- На этом этапе часто используются эластики (резинки) между брекетами для корректировки прикуса
Фаза 3: Финишная подгонка (последние 2-4 месяца)
- Тонкое выравнивание положения каждого зуба
- Достижение идеального смыкания
- Окончательное выравнивание центральной линии
- Исправление мельчайших недочётов
5. Специальная коррекция отдельных аномалий (по необходимости)
- Для коррекции дефицита места — иногда требуется расширение дуги челюсти специальными устройствами
- Для исправления супраконтакта — использование специальных резинок или изгибание дуги
- Для закрытия промежутков — применение дополнительной тяги между зубами
6. Использование вспомогательных конструкций
- Эластики (резинки) между брекетами верхних и нижних зубов для корректировки прикуса в сагиттальном направлении (вперёд-назад)
- Пружины для раскрытия пространства для клыков
- Специальные дуги для торк-коррекции (изменение угла наклона)
- Пробки и стопперы для фиксации дуги и предотвращения её соскальзывания
7. Снятие брекетов и переход на ретенцию
Когда достигнут идеальный результат:
- Осторожное удаление брекетов со всех зубов
- Удаление остатков адгезива
- Полирование поверхности зубов
- Установка ретенционного аппарата (это критично!)
8. Ретенция — самый важный этап, который часто недооценивают
После снятия брекетов зубы имеют тенденцию вернуться в исходное положение. Для предотвращения этого используются:
- Несъёмный ретейнер — тонкая проволока, зафиксированная на внутренней поверхности передних зубов, которая носится постоянно
- Съёмный ретейнер — специальная капа (ночной ретейнер), которая надевается на ночь для поддержания результата
Обычно ретенция продолжается несколько лет для полной стабилизации результата.
Ключевые результаты ортодонтического лечения:
- Полное исправление прикуса — зубы выровнены идеально, смыкание соответствует стандартам нормального прикуса
- Правильное положение центральной линии — центр верхних и нижних зубов совпадает
- Идеальное смыкание жевательных поверхностей — каждый зуб имеет правильный контакт с антагонистом (противоположным зубом)
- Красивая, уверенная улыбка — психологический эффект огромен, особенно для ребенка
- Улучшенная функциональность — правильный прикус обеспечивает правильное пережевывание пищи
- Здоровье зубов на долгосрочной перспективе — правильное расположение зубов облегчает гигиену и снижает риск кариеса и заболеваний дёсен
- Правильное развитие челюстей — лечение в раннем возрасте обеспечивает гармоничное развитие
- Предотвращение будущих осложнений — лечение сейчас предотвращает необходимость более сложного лечения в будущем
Специфика ортодонтического лечения у детей:
- Мотивация ребенка критична — часто требуется работа с психологией ребенка, объяснение важности лечения в доступной форме
- Гигиена — вызов — дети часто не тщательно чистят зубы при брекетах, что может привести к кариесу. Требуется строгий контроль и обучение техникам чистки.
- Регулярные визиты необходимы — активация брекетов каждые 4-8 недель критична для прогресса лечения
- Диета имеет значение — твёрдую, липкую и вязкую пищу нужно избегать, чтобы не повредить брекеты
- Психологический комфорт — врач должен поддерживать ребенка, объясняя ожидаемые временные дискомфорты и мотивируя на продолжение лечения
Длительность лечения:
В среднем ортодонтическое лечение с брекетами занимает 18-24 месяца, в зависимости от тяжести аномалии. В этом случае достигнут впечатляющий результат благодаря:
- Раннему началу лечения
- Хорошей костной способности к перестройке
- Соблюдению рекомендаций врача и ретенции
- Регулярным визитам и активации
Элегия — клиника, где ортодонтическое лечение детей — это не просто работа с положением зубов, это инвестиция в здоровье, функциональность и уверенность на всю жизнь.