Передние зубы — это первое, что видят люди при разговоре. Когда дёсны кровоточат и воспалены, это не просто эстетическая проблема, это сигнал о серьёзном заболевании, требующем немедленного лечения.
Критическое состояние:
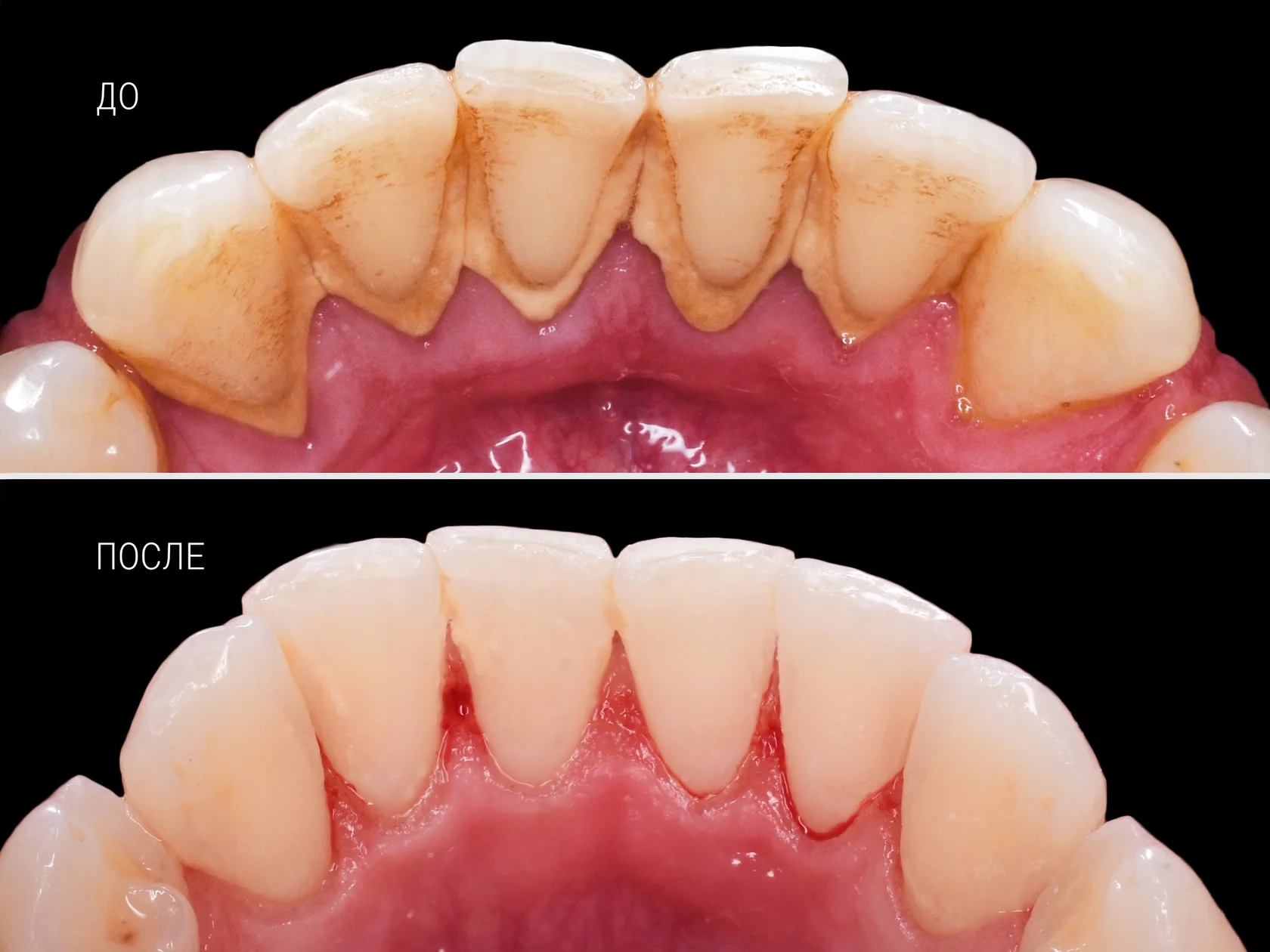
Пациент пришел в запущенном состоянии: глубокое воспаление дёсен, обильный минерализованный налёт под дёснами, явные признаки гингивита. Дёсны кровоточили при малейшем прикосновении, пациент боялся чистить зубы. Это были ранние признаки развития пародонтита — состояния, которое может привести к потере зубов.
Почему в этом случае профессиональная чистка — это не профилактика, а лечение:
Отложения под дёснами (поддесневой камень) невозможно удалить домашней чисткой. Они являются источником постоянного воспаления и бактериальной инфекции. Без удаления этих отложений пациент был бы обречён на прогрессирующее разрушение пародонта.
Комплексный лечебный протокол:
1. Диагностическая визуализация — индикатор налёта окрасил отложения, наглядно показав пациенту масштаб поддесневого камня, который скрывается под дёснами. Это был шок для пациента, но критически важен для мотивации.
2. Поддесневой ультразвук — критический этап — специализированные тонкие насадки для удаления минерализованного камня именно из-под дёсен, где воспаление максимально. Это самый важный этап, так как именно поддесневой камень вызывает деструкцию костной ткани.
3. Поверхностная полировка Air Flow — после удаления камня поверхностный налёт удаляется Air Flow, но главное — восстанавливается здоровая поверхность корня зуба.
4. Противовоспалительное фторирование — фторовое покрытие не просто защищает, но и обладает противовоспалительным эффектом, помогая дёснам быстрее восстанавливаться.
5. Критическое обучение гигиене — пациент получил подробное объяснение техники чистки, особенно в области дёсен, где ошибки приводят к новому воспалению. Врач показал, как чистить БЕЗ давления, мягкими движениями под углом 45 градусов.
6. Индивидуальный подбор для восстановления — не просто средства гигиены, а специализированные продукты: мягкая щётка (не стандартная), антибактериальная паста, ирригатор для промывания поддесневого пространства, жидкость для полоскания с противовоспалительным эффектом.
Результаты восстановления:
Критическое различие от других случаев:
В отличие от профилактической чистки у здорового пациента, в этом случае речь идет о лечении начинающегося пародонтита. Поддесневой ультразвук — это не косметическая процедура, это медицинское вмешательство, которое спасает зубы от потери.
Прогноз:
При соблюдении пациентом полученных рекомендаций и регулярных визитов (раз в 3 месяца) пародонтит не вернётся. Пациент вышел из опасной зоны.
Элегия — клиника, где профессиональная чистка, когда необходимо, становится спасением улыбки.
Критическое состояние:
Пациент пришел в запущенном состоянии: глубокое воспаление дёсен, обильный минерализованный налёт под дёснами, явные признаки гингивита. Дёсны кровоточили при малейшем прикосновении, пациент боялся чистить зубы. Это были ранние признаки развития пародонтита — состояния, которое может привести к потере зубов.
Почему в этом случае профессиональная чистка — это не профилактика, а лечение:
Отложения под дёснами (поддесневой камень) невозможно удалить домашней чисткой. Они являются источником постоянного воспаления и бактериальной инфекции. Без удаления этих отложений пациент был бы обречён на прогрессирующее разрушение пародонта.
Комплексный лечебный протокол:
1. Диагностическая визуализация — индикатор налёта окрасил отложения, наглядно показав пациенту масштаб поддесневого камня, который скрывается под дёснами. Это был шок для пациента, но критически важен для мотивации.
2. Поддесневой ультразвук — критический этап — специализированные тонкие насадки для удаления минерализованного камня именно из-под дёсен, где воспаление максимально. Это самый важный этап, так как именно поддесневой камень вызывает деструкцию костной ткани.
3. Поверхностная полировка Air Flow — после удаления камня поверхностный налёт удаляется Air Flow, но главное — восстанавливается здоровая поверхность корня зуба.
4. Противовоспалительное фторирование — фторовое покрытие не просто защищает, но и обладает противовоспалительным эффектом, помогая дёснам быстрее восстанавливаться.
5. Критическое обучение гигиене — пациент получил подробное объяснение техники чистки, особенно в области дёсен, где ошибки приводят к новому воспалению. Врач показал, как чистить БЕЗ давления, мягкими движениями под углом 45 градусов.
6. Индивидуальный подбор для восстановления — не просто средства гигиены, а специализированные продукты: мягкая щётка (не стандартная), антибактериальная паста, ирригатор для промывания поддесневого пространства, жидкость для полоскания с противовоспалительным эффектом.
Результаты восстановления:
- Остановлено воспаление — дёсны немедленно перестали кровоточить, в течение недели произошло видимое восстановление
- Восстановлена плотность дёсен — они приобрели здоровый розовый цвет и плотно прилегают к зубам
- Предотвращена потеря зубов — удаление поддесневого камня остановило процесс деструкции костной ткани
- Восстановлена естественная белизна — после удаления воспаления зубы светлеют
- Пациент получил второй шанс — обучение предотвращает рецидив болезни
Критическое различие от других случаев:
В отличие от профилактической чистки у здорового пациента, в этом случае речь идет о лечении начинающегося пародонтита. Поддесневой ультразвук — это не косметическая процедура, это медицинское вмешательство, которое спасает зубы от потери.
Прогноз:
При соблюдении пациентом полученных рекомендаций и регулярных визитов (раз в 3 месяца) пародонтит не вернётся. Пациент вышел из опасной зоны.
Элегия — клиника, где профессиональная чистка, когда необходимо, становится спасением улыбки.